Ortodoncia invisible / transparente
- ¿Qué es la Ortodoncia Invisible u Ortodoncia Transparente?
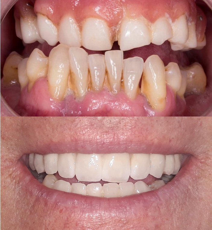
El tratamiento de Ortodoncia Transparente Digital, es una forma prácticamente invisible de alinear los dientes.
Los últimos avances de digitalización infomática en 3D, permiten personalizar al máximo su Ortodoncia Invisible.
Una vez realizado un estudio digital de la boca del paciente, se diseña a medida una colección de alineadores dentales transparentes.
Cada alineador se lleva puesto durante aproximadamente 1-2 semanas antes de ser reemplazado por el siguiente, y los dientes van moviendose gradualmente hacia la posición final proyectada.
El tiempo de tratamiento depende de sus necesidades específicas y será determinado en Clínica Cámara.
- ¿Cómo funciona la ortodoncia invisible?
Los alineadores del sistema de Ortodoncia Invisible mueven los dientes siguiendo movimientos cuidadosamente controlados y programados.
Cada alineador está diseñado para realizar movimientos individuales en los dintes del/la paciente. Cada alineador de ortodoncia invisible es sustituido cada 10/15 días por otro que continúa avanzando hasta la solución proyectada por nuestros especliaistas en Ortodoncia Invisible.
- ¿Cuáles son las ventajas de la ortodoncia transparente?
Los alineadores de Orodoncia Invisible son prácticamente imperceptibles. Casi nadie notará que está en tratamiento de ortodoncia.
Como los alineadores son extraíbles, durante el tratamiento podrá comer y beber todo lo que desee simplemente quitándoselos.
También puede quitarse los alineadores para cepillarse la boca o usar hilo dental y así mantener su rutina de higiene oral habitual. Se recomienda llevar puestos los alineadores durante al menos 22 horas al día.
A diferencia de los aparatos fijos tradicionales, estos dispositivos no llevan alambres ni brackets metálicos. Esto significa que en la mayoría de los casos se dedica menos tiempo a los ajustes en la consulta.
El sistema de Ortodoncia Transparente le permite ver los resultados y el plan de tratamiento de forma virtual antes de comenzar. Conocerá desde el principio el aspecto previsto para sus dientes una vez concluído el tratamiento.
- ¿Cualquier odontólogo puede realizar un tratamiento de Ortodoncia Invisible?
Aunque el sistema se puede usar con la mayoría de de tratamientos, es necesario recibir una formación específica.
Un minucioso estudio y planficación del tratamiento, además de la planifcación de la fase de retención posterior es lo que garantiza un buen resultado y su permanencia en el tiempo.
- ¿Cuánto tiempo dura el tratamiento de Ortodoncia Transparente?
La duración del tratamiento depende de su complejidad y generalmente es comparable al de los brackets tradicionales.
En Clínica Cámara trateremos su caso usando las últimas tecnologías del mercado y personalizaremos su caso hasta en el último detalle.
- ¿El tratamiento invisible es doloroso?
Algunas personas pueden experimentar malestar temporal y leve durante unos días cuando se ponen un alineador nuevo, al comienzo de cada fase de tratamiento. Esto es normal. Los pacientes describen una sensación de presión. Es una señal de que los alineadores están funcionando y normalmente desaparece en un par de días.
- ¿Una vez finalizado el tratamiento de ortodoncia transparente necesario usar retenedores?
Es importante usar un retenedor después de cualquier tratamiento de ortodoncia. Este mantiene los dientes estables en sus nuevas posiciones.
Para que los dientes mantengan su posición ideal lo mejor es llevar puesto el retenedor. En muchos casos el último alineador será el retenedor temporal hasta que se determine la opción de retención.
En Clínica Cámara le plantearemos las opciones de retención que necesite a más largo plazo.
- ¿Es un sistema probado y seguro?
Millones de personas en el mundo han sido ya tratados con sistemas de Ortodoncia Invisible, desde hace ya más de dos décadas.
- ¿Por qué confiar mi ortodoncia transparente a Clínica Cámara?
En Clínica Cámara somos especialistas en tratamientos de Ortodoncia Invisible.
- Nuestro equipo de dentistas ortodoncistas está calificado como "Platinum" por el sistema Invisalign, en las provincias de Granada y Jaén.
- Contamos con toda la tecnología para trabajar con el sistema digital de ortodoncia invisible: escaneado Cerec digital de la dentadura en 3D , pruebas radiológicas digitales y nuestro equipo de ortodoncistas están certificados por los los principales fabricantes.
¿Es realmente Ortodoncia Invisible?
Los alineadores de la ortoncia transparente convierten la ortodoncia en prácticamente invisible.
¿Qué es un alineador?
Son férulas programadas para alinear tus dientes. Hay que cambiarlas cada 1 o 2 semanas, durante el tratamiento.
¿Tarda más que otras técnicas?
La duración de un tratamiento invisible es muy similar a uno de ortodoncia con brackets.
Vemos el resultado, desde el principio
La Ortodoncia Invisible es un tratamiento diseñado digitalmente. Antes de llevar el primer aligner, podrá conocer resultado final.
Más Odontología Avanzada:
Radiología Digital 2D y 3D
La digitalización de los estudios de ortodoncia permite planificar y diseñar los tratamientos por ordenador.
Ortodoncia y Bruxismo
El uso del Test Digital de Oclusión aporta importantes garantías en la fase de planificación para pacientes bruxistas.








