Casos Reales
Casos reales. Tratamientos realizados en Clínica Dental Cámara. Granada y Jaén
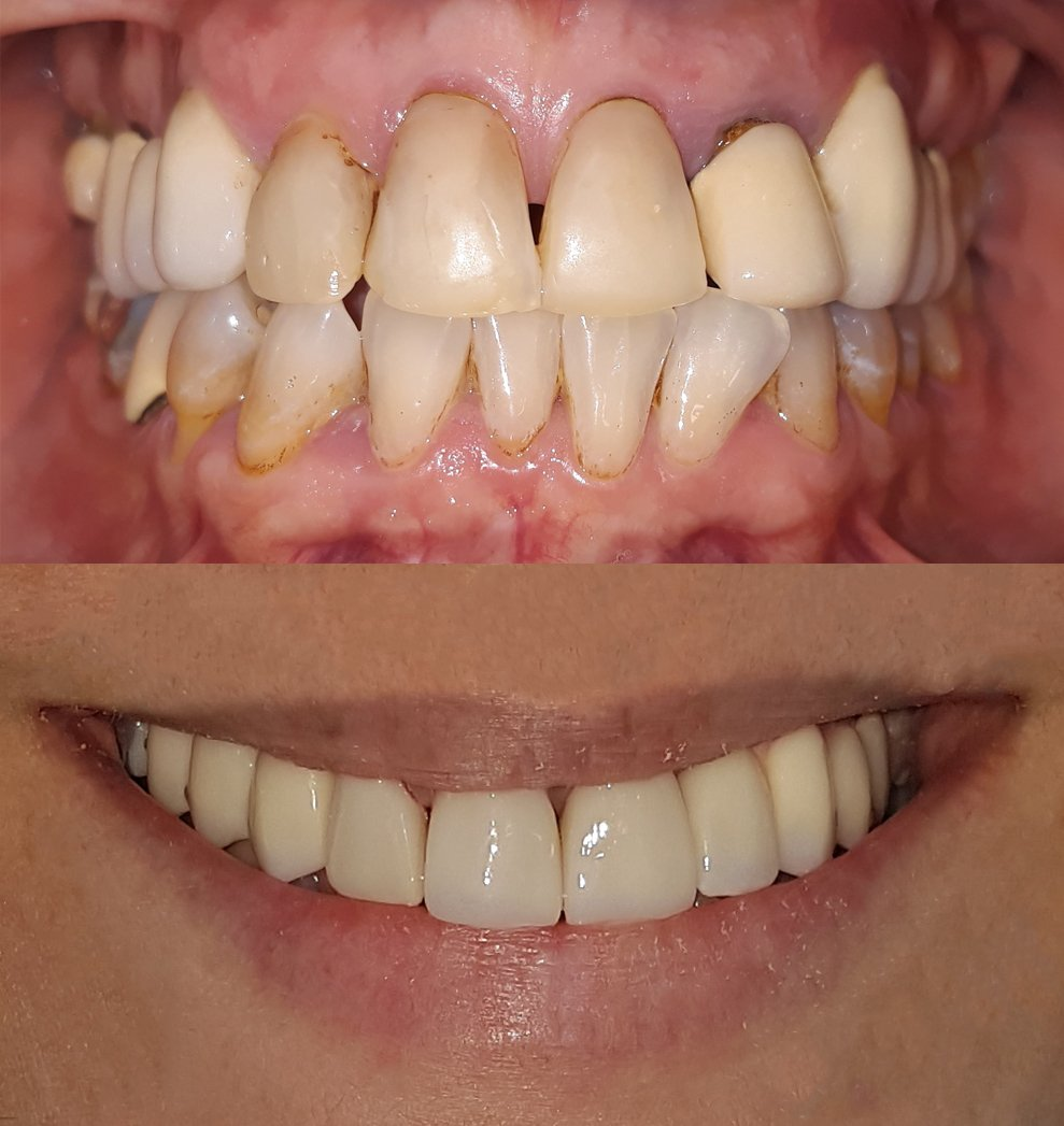
Un equipo dentista con más de 30 años de experiencia y el apoyo de la más alta tecnología permite a Clínica Cámara tener pacientes con un alto nivel de satisfacción. El concepto de Odontología Avanzada suma una excelente calidad de diagnóstico, la realización de tratamientos de alta calidad, tecnología punta y culmina con pacientes contentos con el resultado: a la altura de sus expectativas.









